Traffic Alert: Construction Impacting Travel Around MOR's Downtown Chicago Location

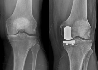
X-ray of partial knee replacement

Patient Stories

Second opinions matter: Partial instead of full knee replacement

Date posted: 10/2/2023

Last updated: 10/3/2023

Table of Contents

When Larry Corn, 65, listened to experiences from some of his family and friends who had undergone knee replacements, he didn’t like what he heard.

“There were many disasters,” Corn explains. “The stories I heard were awful.”

So, when pain in both of his knees began to affect his ability to sleep, comfortably work, ride a motorcycle, or do ordinary chores, he began to do his research. It was then that he learned that there were two types of knee replacement procedures: a total and a partial knee. Unlike a complete knee replacement, a partial knee replacement could be performed if only one part of the knee was affected by arthritis. He learned that potential benefits of a partial knee include a shorter recovery time, lower risks around the time of surgery, and a knee that feels more normal and natural since all of the ligaments are preserved.

Armed with this information, he started with local surgeons who offered only a total knee replacement as a surgical option. Corn expanded his search for a second opinion and found Dr. Craig Della Valle of Midwest Orthopaedics at RUSH, ranked among the top ten orthopedic programs in the nation. He liked what he read about the practice and the doctor’s depth of research and national reputation. Not fond of traveling to Chicago, he scheduled an appointment with Dr. Della Valle in his Munster, Indiana office.

“During our visit, I trusted him right away and knew that I was in good hands,” Corn says.

Dr. Della Valle recommended that Corn undergo one partial knee replacement at a time to allow for optimal rehabilitation. He successfully performed his second side 11 months later.

“Mr. Corn was a good candidate for a partial knee replacement as he had arthritis predominantly on this inside of his knee, good flexibility, and normal-feeling ligaments,” Dr. Della Valle explains.

Following surgery, Corn was very happy. “My friends, family, and physical therapists couldn’t believe how well I did,” he explains. “So many others had really challenging recoveries while mine was pretty easy.”

Today, he is happily retired and enjoys walks in the woods over rough terrain, riding his motorcycle, and sleeping soundly. “I don’t even think about my knees,” he says. “And that’s the best compliment!”


If you would like to schedule an appointment with Dr. Craig Della Valle for a first or second opinion, click here or call 877-MD-BONES.

Schedule an Appointment